Innesti di tessuto molle (chirurgia plastica ricostruttiva)
c) Innesti di tessuto molle (Chirurgia plastica ricostruttiva)
Sono disponibili tecniche chirurgiche parodontali per evitare ulteriori problemi dentari e recessioni gengivali, e/o per migliorare l'estetica del suo profilo gengivale.
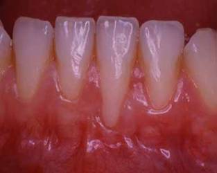
Superfici radicolari esposte derivano da recessioni gengivali. E' possibile migliorare il suo sorriso coprendo una o più di queste radici che fanno apparire il dente più lungo. E' altrettanto possibile ridurre la sensibilità delle radici esposte all'introduzione di cibi o liquidi, caldi o freddi.
Le sue gengive possono essersi retratte per diversi motivi, tra cui la malattia parodontale e lo spazzolamento traumatico dei denti. Prima di iniziare il trattamento, verranno identificati i fattori che hanno determinato la comparsa delle recessioni. Dopo averli controllati o eliminati, il difetto potrà essere risolto attraverso una procedura che utilizza innesti di tessuto molle; ciò aiuterà a prevenire un¹ulteriore recessione e la perdita di osso.
La procedura chirurgica prevede il prelievo di tessuto gengivale dal palato o da un'altra sede donatrice per ricoprire la radice esposta. Questo prelievo può servire per ripristinare il regolare profilo gengivale di uno o più denti e per ridurne la sensibilità.
Quali sono i vantaggi di questa procedura?
L'innesto di tessuto molle è in grado di preservare il dente da un'ulteriore recessione e perdita di osso. In alcuni casi, consente di ricoprire le radici esposte, proteggendole dal rischio di carie; inoltre, può ridurre la sensibilità e migliorare l¹estetica del suo sorriso. Un bel sorriso ed una condizione di salute parodontale la rendono libera/o di sorridere, parlare e mangiare in serenità, senza timori e senza imbarazzi.
|
|
Recessione gengivale ed esposizione della radice |
|
|
Aspetto dopo chirurgia plastica ricostruttiva. La gengiva è stata ricoperta e la gengiva ricostruita. |

